Digital hergestellte Zirkonkrone

Zahnkrone aus E.max Zirkon

Die derzeit beste verfügbare vollkeramische Lösung – digital geplant, präzise gefräst und ästhetisch perfekt. Schon ab 100 € im Denis-Focus Dental.

Zahnkronen – aus bestem Material angefertigt

Die Ivoclar e.max Prime Kronen, hergestellt mit modernster CAD/CAM-Technologie, bieten höchste Präzision und natürliche Ästhetik. Dank digitaler Vorbereitung passen sie perfekt auf den Zahn und garantieren exakten Sitz und Farbharmonie.

Ziel der Zahnkronen: Wiederherstellung der natürlichen Zahnform und Schutz stark geschädigter Zähne. Ideal bei großen Füllungen oder nach Wurzelbehandlungen.

  • Beste Qualität und Passgenauigkeit
  • Natürliche Lichtdurchlässigkeit – kein Metallrand
  • Hohe Haltbarkeit, keine Absplitterungen
  • Keine Nachbehandlungen nötig
Zahnkrone aus bestem Material

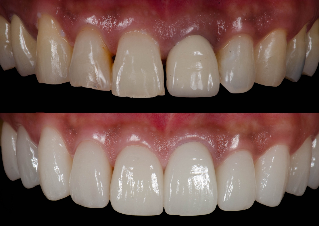
e.max Prime Zirkonkronen – die Premiumvariante

E.max Zirkon Prime kombiniert die besten Eigenschaften aus Transparenz und Festigkeit (MT + LT). Die Krone ist vollständig digital gefertigt, biokompatibel und ästhetisch perfekt.

Ideal für höchste Ansprüche im sichtbaren Frontbereich. 100 % metallfrei, dauerhaft stabil und natürlich schön.

E.max Zirkon Prime Beispiel

Ablauf der Behandlung

  1. Digitaler Scan: Aufnahme des Ausgangszustands und Analyse der Bisslage.
  2. Planung: Erstellung des digitalen Designs im Labor (Form, Farbe, Funktion).
  3. Provisorium: Digital angefertigt, identisch zur finalen Krone – dient als Anprobe.
  4. Finale Eingliederung: Präzise gefräste Krone aus Zirkon wird dauerhaft eingesetzt.

Preisliste herunterladen