Teleskopprothese
Teleskopprothese
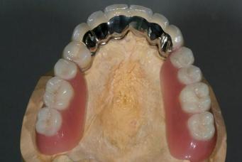
Teleskopprothesen sind abnehmbare, teilprothetische Lösungen, die auf Teleskopkronen fixiert werden. Sie sind stabil, ästhetisch und sehr gut zu pflegen – besonders geeignet für ältere Menschen.
Termin anfragenWann ist eine Teleskopprothese sinnvoll?
Wenn nur noch wenige tragfähige Zähne vorhanden sind, kann eine Teleskopprothese eine stabile und zugleich schonende Lösung bieten. Sie verteilt die Kaubelastung gleichmäßig und lässt sich im Alltag komfortabel tragen.
Aufbau der Teleskopprothese
Die Prothese besteht aus Primärkronen (innere, fest zementierte Kronen) und Sekundärkronen (äußere, in die Prothese integrierte Kronen). Beim Einsetzen gleiten beide teleskopartig ineinander – so entsteht ein sicherer Halt ohne sichtbare Klammern.
Vorteile im Überblick
- Sehr guter Halt und Tragekomfort
- Gute Hygienefähigkeit – leicht zu reinigen
- Ästhetik ohne sichtbare Klammern
- Belastungen werden zahn- und schleimhautgetragen verteilt
- Erweiterbar, falls später Zähne verloren gehen
Ablauf der Behandlung
- Gründliche Planung und Evaluation der tragfähigen Zähne
- Vorbereitung und Beschleifen der Pfeilerzähne
- Herstellung der Primärkronen und präzise Anpassung
- Fertigung der Prothese mit Sekundärkronen
- Feineinstellung von Sitz, Okklusion und Ästhetik
Das Ergebnis ist eine langlebige, stabile Versorgung mit natürlicher Anmutung.
Häufige Fragen
Wie wird die Teleskopprothese gereinigt?
Die Prothese kann herausgenommen und außerhalb des Mundes gründlich gereinigt werden. Auch die Primärkronen lassen sich dadurch sehr gut pflegen – das reduziert Entzündungsrisiken.
Wie natürlich wirkt eine Teleskopprothese?
Durch die versteckte Verankerung ohne sichtbare Klammern und die individuelle Zahnform- und Farbgestaltung entsteht ein harmonisches, natürliches Erscheinungsbild.
Kann die Versorgung später erweitert werden?
Ja. Gehen weitere Zähne verloren, lässt sich die Prothese in der Regel anpassen oder erweitern – das macht die Versorgung zukunftssicher.
Beratung gewünscht?
Wir erläutern Ihnen gern, ob eine Teleskopprothese die passende Lösung ist und zeigen mögliche Alternativen auf.
Jetzt beraten lassen